CHAPITRE 11: Item 335 Traumatismes oculaires
Pr D. Gaucher, CHU de Strasbourg
Situations cliniques de départ
Les traumatismes oculaires peuvent être associés aux situations cliniques suivantes.
27 – Chute de la personne âgée : la chute du sujet âgé est une des causes fréquentes de traumatisme oculaire.
138 – Anomalie de la vision; 139 – Anomalies palpébrales; 141 – Sensation de brûlure oculaire; 143 – Diplopie; 151 – œdème de la face et du cou; 152 – œil rouge et/ou douloureux : les traumatismes oculaires sont souvent associés à des troubles de la vision, un œil rouge et douloureux avec sensation de brûlure et parfois à une diplopie orientant selon son origine monoculaire ou binoculaire vers une atteinte cristali-nienne/rétinienne ou musculonerveuse. Enfin, les traumatismes faciaux et palpébraux entraînent des œdèmes de la face importants.
168 – Brûlure : les brûlures chimiques ou thermiques font partie des causes de trau-matismes oculaires.
174 – Traumatisme facial : l’atteinte palpébrale et/ou du globe oculaire s’intègre le plus souvent dans le cadre d’un traumatisme facial plus ou moins important.
230 – Rédaction de la demande d’un examen d’imagerie; 231 – Demande d’un examen d’imagerie : dans le cadre d’un traumatisme oculaire, une recherche de fracture de l’orbite, de corps étranger intraorbitaire de rupture sclérale postérieure ou d’un hématome orbitaire est souvent nécessaire et conduira à une demande motivée d’un scanner orbitaire ou d’une IRM orbitaire.
321 – Suspicion de maltraitance et enfance en danger : l’examen du fond d’œil à la recherche d’hémorragies rétiniennes fait partie de la recherche de preuves de maltraitance chez le nouveau-né et le nourrisson.
345 – Situation de handicap : les traumatismes oculaires graves conduisent souvent à une perte de vision définitive voire à une énucléation qui entraînent une situation de handicap pour laquelle un accompagnement du patient est nécessaire.
352 – Expliquer un traitement au patient : expliquer en urgence l’objectif, les risques et les limites du traitement du traumatisme oculaire. En cas de prise en charge chirurgicale, une information doit être donnée au patient et la confirmation écrite que le patient a bien reçu et compris cette information doit être obtenue dans la mesure du possible.
208Hiérarchisation des connaissances
| Rang | Rubrique | Intitulé et descriptif |
|
|
Identifier une urgence | Identifier les urgences vitales et fonctionnelles du traumatisé facial |
|
|
Identifier une urgence | Connaître les critères de gravité d’un traumatisme facial |
|
|
Identifier une urgence | Reconnaître les critères d’incarcération musculaire dans une fracture du plancher de l’orbite |
|
|
Identifier une urgence | Connaître les éléments cliniques d’une brèche cérébrospinale dans le cadre d’un traumatisme facial |
|
|
Identifier une urgence | Traumatismes crâniens de l’enfant : évaluation de la gravité et des complications précoces |
|
|
Épidémiologie | Maltraitance et enfants en danger. Protection maternelle et infantile |
|
|
Définition | Connaître les différents traumatismes crâniens de l’enfant |
|
|
Définition | Définition d’une fracture du plancher de l’orbite |
|
|
Diagnostic positif | Connaître les éléments de l’interrogatoire et de l’examen clinique à réaliser dans le cadre d’un traumatisme facial |
|
|
Diagnostic positif | Connaître les signes cliniques présents dans les fractures du plancher de l’orbite |
|
|
Diagnostic positif | Connaître les déclarations obligatoires pour un patient victime d’une morsure animale |
|
|
Diagnostic positif | Connaître les pathologies maculaires chroniques hors DMLA (membrane épirétinienne, trou maculaire, œdème maculaire) |
|
|
Prise en charge | Connaître les principes thérapeutiques des plaies de la face (morsures incluses) |
|
|
Prise en charge | Connaître les principes du traitement d’une fracture du plancher de l’orbite avec incarcération musculaire |
|
|
Examens complémentaires | Connaître les examens à réaliser en première intention dans le cadre d’un traumatisme facial en fonction des orientations diagnostiques |
|
|
Examens complémentaires | Connaître les examens à réaliser en urgence dans le cadre d’une fracture du plancher de l’orbite |
|
|
Contenu multimédia | Scanner d’une fracture du plancher de l’orbite |

209
Devant un traumatisme oculaire récent, il faut distinguer trois situations :
I Contusions du globe oculaire
On recherche les circonstances et le mécanisme du traumatisme qui pourrait notamment faire suspecter la présence d’un corps étranger intraoculaire (CEIO).
Les agents contondants sont d’autant plus dangereux que leur volume est petit. Ainsi, un ballon est freiné par le relief orbitaire, alors qu’un bouchon de champagne peut directement atteindre le globe oculaire.
- • les signes fonctionnels : les douleurs (elles évoquent une atteinte du segment antérieur (conjonctive, cornée, sclère);
- • l’acuité visuelle : elle peut donner des indications sur la gravité des lésions. Elle a une valeur pronostique; elle est parfois difficile à mesurer en cas de douleur importante (elle a aussi un intérêt médico-légal);
- • l’heure du dernier repas ou de prise de boisson (dans l’hypothèse d’une prise en charge chirurgicale).
On recherchera des lésions associées (traumatisme crânien, traumatisme facial, etc.).
B Examen
L’examen oculaire permet de distinguer les contusions du segment antérieur et les contusions du segment postérieur pouvant être associées ou non.
1.Contusions du segment antérieur
a Cornée
Une érosion cornéenne superficielle peut être mise en évidence après instillation de fluores-céine (fig. 11.1). Elle n’est pas grave mais très douloureuse, et peu ou pas calmée par les antalgiques classiques.

A. Test diagnostique à la fluorescéine : éclairée par une lumière bleue, la fluorescéine fixe la surface lésée et se colore en vert; on dit que la cornée est « fluorescéine positive ». B. Toujours penser à éverser la paupière supérieure à la recherche d’un corps étranger.
L’image A montre un œil vu sous lumière bleue après instillation de fluorescéine. Une large zone centrale circulaire d’hyperfluorescence est visible, indiquant une érosion cornéenne étendue avec perte d’intégrité de l’épithélium. La teinte bleue environnante révèle une bonne répartition du colorant, permettant de bien délimiter la lésion. L’image B, en lumière naturelle, montre le même œil en vue oblique avec l’examen du cul-de-sac inférieur. Le patient regarde vers le haut pendant qu’un examinateur soulève la paupière inférieure. Aucun corps étranger n’est visible ici, mais ce geste est typiquement réalisé pour rechercher une cause mécanique à l’érosion, comme une particule incrustée.
Elle nécessite un traitement par gel ou pommade cicatrisants, éventuellement associé à un traitement antibiotique topique afin d’éviter une surinfection microbienne pendant 2 à 3 jours. L’œil est souvent fermé par un pansement oculaire pour minimiser les douleurs. La cicatrisation complète survient le plus souvent en 48 heures sans séquelle.
b Conjonctive
Il peut exister une plaie conjonctivale et/ou une hémorragie sous-conjonctivale (fig. 11.2). Une plaie conjonctivale de grande taille doit être suturée. Une hémorragie sous-conjonctivale peu importante ne nécessite aucun traitement (fig. 11.2A), mais si elle est importante ou associée à une plaie, elle doit toujours faire rechercher une plaie sclérale sous-jacente ou un CEIO (fig. 11.2B), au besoin au bloc opératoire.

L’image A montre un œil avec une hémorragie sous-conjonctivale traumatique étendue. La sclère est largement masquée par une nappe de sang vif sous la conjonctive bulbaire, mais l’iris et la cornée restent parfaitement visibles, et la chambre antérieure semble calme, ce qui évoque une atteinte bénigne. L’image B montre un autre œil avec une hémorragie sous-conjonctivale plus localisée en inférieur, associée à un petit hématome sous-conjonctival dense. Cette présentation est plus préoccupante car ce type de collection peut masquer une plaie sclérale profonde, nécessitant un examen attentif, voire une exploration chirurgicale.
c 210Chambre antérieure
On peut retrouver un hyphéma. Il s’agit d’une hémorragie de la chambre antérieure : le dépôt hématique inférieur forme un niveau (fig. 11.3). L’évolution se fait en général vers la résorption spontanée si l’origine du saignement est antérieure (atteinte irienne). Une origine choroïdienne est de mauvais pronostic.

L’image A montre un hyphéma de faible abondance avec une mince lame de sang visible en déclive dans la chambre antérieure de l’œil. La cornée reste claire, l’iris est identifiable, et la pupille reste visible, bien que partiellement masquée par la cellule sanguine en position inférieure. L’image B montre au contraire un hyphéma abondant : la moitié inférieure de la chambre antérieure est remplie de sang rouge sombre. La surface du liquide est horizontale, traduisant une sédimentation nette. Cette situation compromet l’examen de l’iris et peut induire une élévation de la pression intraoculaire, nécessitant une surveillance étroite.
Les risques principaux sont l’hypertonie intraoculaire et la récidive hémorragique. Un hyphéma total avec hypertonie peut être responsable d’une infiltration hématique de la cornée (hématocornée) irréversible et cécitante. Un lavage chirurgical de la chambre antérieure doit alors être réalisé.
d 211Iris
- • une iridodialyse : désinsertion de la base de l’iris (fig. 11.4);

Fig. 11.4 Iridodialyse post-traumatique inférieure (A) et supérieure (B). L’image A montre une iridodialyse inférieure post-traumatique : un décollement net de l’insertion de l’iris est visible en bas de la chambre antérieure, formant une seconde pupille apparente qui laisse passer la lumière en zone déclive. La cornée est claire, et l’examen met en évidence une double ouverture pupillaire. L’image B montre une iridodialyse supérieure. L’iris est déformé vers le haut avec un aspect festonné, tandis que la conjonctive sus-jacente est injectée, traduisant un état inflammatoire. Dans les deux cas, la perte d’ancrage irien modifie la forme de la pupille et peut s’accompagner de photophobie ou de troubles visuels.
- •
une rupture du sphincter irien (au bord de la pupille) responsable d’une correctopie (déformation pupillaire) (fig. 11.5);

Fig. 11.5 Ruptures du sphincter irien (flèches). L’image montre une pupille vue en éclairage focalisé, avec deux zones bien visibles en bas où l’anneau musculaire de l’iris présente une rupture. Ces interruptions du sphincter irien se traduisent par des fentes radiaires nettes dans la structure circulaire, avec un bord légèrement déchiqueté. L’iris reste bien pigmenté et la cornée claire, sans signe d’hémorragie intraoculaire ni de corps étranger. Ce type de lésion correspond à une rupture traumatique de la continuité sphinctérienne, pouvant entraîner une déformation pupillaire, une photophobie ou une mauvaise réponse à la lumière.
- •
une mydriase post-traumatique (avec diminution du réflexe photomoteur) transitoire ou définitive.
e 212Cristallin
Selon l’importance du traumatisme et la résistance des fibres de la zonule, on peut observer :
- • une subluxation du cristallin (fig. 11.6) ou une luxation incomplète avec rupture partielle de la zonule;

Fig. 11.6 A, B. Subluxation et opacification du cristallin. L’image A montre un cristallin opacifié en position subluxée. Il apparaît en partie déplacé vers le haut, avec une capsule blanchâtre, irrégulière et totalement opaque, rendant impossible la visualisation du fond d’œil. L’iris reste visible, mais légèrement étalé, témoignant de la perte de centrage. L’image B, obtenue en biomicroscopie avec éclairage en fente, confirme la subluxation : le cristallin, à la forme irrégulière, laisse passer un faisceau lumineux oblique, dévié par la densité du noyau. Le reflet rouge du fond d’œil est partiellement visible, limité par l’opacité cristallinienne. Ces signes évoquent une luxation partielle avec cataracte évoluée.
- •
une luxation complète du cristallin dans la chambre antérieure (fig. 11.7) ou dans la cavité vitréenne par rupture totale de la zonule;

Fig. 11.7 Luxation du cristallin dans la chambre antérieure. L’image montre un cristallin totalement luxé vers l’avant, situé dans la chambre antérieure. Sa surface arrondie et opaque repose directement contre la face postérieure de la cornée, refoulant l’iris en arrière. L’aspect bombé, grisâtre et dense du cristallin évoque une opacification évoluée, empêchant la visualisation du fond d’œil. La sclère périphérique est légèrement injectée, témoignant d’une irritation oculaire. L’angle irido-cornéen paraît fermé, ce qui peut favoriser une élévation rapide de la pression intraoculaire. Cette configuration impose une prise en charge chirurgicale rapide pour prévenir les complications glaucomateuses ou cornéennes.
- •
une cataracte contusive (apparaissant plusieurs semaines ou mois après le traumatisme).
2 Contusions du segment postérieur
a œdème rétinien
Un œdème rétinien peut être responsable d’une baisse d’acuité visuelle souvent transitoire. Le fond d’œil montre un aspect maculaire pâle (fig. 11.8A). En cas de traumatisme très violent, la macula dégénère et peut parfois évoluer vers un trou maculaire avec des baisses d’acuité sévères et définitives.

A. Aspect blanc-jaunâtre de la rétine maculaire dit « œdème de Berlin ». B. Cet aspect peut aussi toucher la rétine périphérique.
L’image A montre une rétine postérieure avec un œdème localisé au pôle postérieur. La fovéa apparaît floue et grisâtre, entourée de vaisseaux rétiniens légèrement engorgés, sans hémorragie associée, traduisant une atteinte traumatique directe. L’image B, en champ large, met en évidence un œdème rétinien périphérique supérieur avec une zone verdâtre mal délimitée. Cette zone, repérée ici au-dessus de l’arcade vasculaire, montre un épaississement rétinien secondaire à un contrecoup. Les vaisseaux restent visibles en surface, sans signe de décollement. Ce type d’aspect est typique d’un œdème rétinien post-contusif.
b 213Hémorragie rétinienne
Des hémorragies rétiniennes sont parfois visibles au fond d’œil, surtout dues aux avulsions vasculaires par les tractions brutales du vitré sur la rétine (fig. 11.9).

A. Aspect à J1. Il existe une rupture choroïdienne associée (flèche). B. L’hémorragie s’est majorée et empêche le fond d’œil à J8. L’échographie en mode B montre les remaniements hyperéchogènes du sang mais pas de décollement de la rétine.
L’image A montre un fond d’œil avec une hémorragie intravitréenne post-traumatique partielle. Le vitré inférieur est obscurci par une nappe hématique dense, tandis que le pôle postérieur reste visible. Une zone plus claire, centrale, correspond à la tête du nerf optique. L’image B est une échographie en mode B de l’œil concerné. Elle met en évidence une zone hyperéchogène flottante dans la cavité vitréenne, traduisant la présence de sang coagulé. L’ancrage rétinien est respecté, sans décollement net observé. Ces signes sont typiques d’une hémorragie intravitréenne secondaire à un traumatisme contusif oculaire.
Chez le nourrisson, souvent avant 6 mois à 1 an, la présence d’hémorragies bilatérales rétiniennes doit faire évoquer un syndrome du bébé secoué. La maltraitance est d’autant plus probable que le contact avec l’enfant est difficile et que d’autres lésions traumatiques, en particulier cérébrales, sont retrouvées. Des séquelles visuelles et une amblyopie peuvent s’associer aux hémorragies (fig. 11.10).

Photographies grand champ RetCam® réalisées en réanimation pédiatrique. A. œil droit. B. œil gauche.
Ces deux fonds d’œil, A et B, montrent un aspect pathologique bilatéral évocateur d’un traumatisme sévère non accidentel. On observe de nombreuses hémorragies rétiniennes étagées, réparties sur plusieurs niveaux, incluant la région péripapillaire, les arcades vasculaires et la périphérie rétinienne. L’hémorragie est diffuse, avec des nappes de sang intrarétinien et prérétinien, parfois en flammèches, parfois ponctuées. La papille optique reste visible mais partiellement masquée par les saignements. L’image générale est typique d’un syndrome du bébé secoué, marqué par des lésions rétiniennes multiples et souvent asymétriques.
c Hémorragie intravitréenne
L’hémorragie intravitréenne est due à une rupture vasculaire rétinienne traumatique.
Elle évolue en général favorablement vers la résorption spontanée. Lorsqu’elle empêche la visualisation de la rétine, elle doit faire pratiquer une échographie B à la recherche d’un décollement de rétine associé. En cas de non-résorption ou de décollement de rétine survenant au décours, une vitrectomie doit être réalisée.
d 214Déchirures rétiniennes périphériques
Les déchirures rétiniennes périphériques peuvent aboutir à la constitution d’un décollement de rétine (fig. 11.11). Celui-ci peut survenir à distance du traumatisme, parfois plusieurs mois ou années après, surtout chez les sujets prédisposés comme les myopes forts.

Cette photographie en grand champ de la rétine montre un décollement post-traumatique étendu associé à une déchirure géante. Sur la gauche, une zone vert-bleutée correspond au soulèvement rétinien, nettement séparée de la rétine adhérente par une limite ondulée bien marquée. Le bord de la déchirure, situé en périphérie temporale inférieure, présente une ouverture rétinienne large avec repli. Le pôle postérieur, autour de la papille optique et de la macula, reste appliqué mais en limite de décollement. La vascularisation est préservée, mais la traction vitréo-rétinienne est probablement à l’origine de cette déchirure. Ce tableau impose une prise en charge chirurgicale urgente.
Un traitement prophylactique des déchirures par photocoagulation au laser avant la constitution d’un décollement de rétine peut parfois en prévenir l’apparition,
d’où l’importance d’un examen systématique de la rétine périphérique aussi précoce que possible au décours de tout traumatisme.
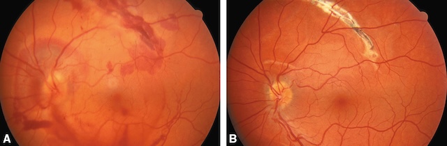
e Rupture de la choroïde
Les ruptures traumatiques de la choroïde (fig. 11.12) peuvent être responsables d’une baisse d’acuité visuelle séquellaire définitive lorsqu’elles affectent la macula (fig. 11.13).

A. Aspect immédiat au décours du traumatisme. B. Aspect cicatriciel : la rupture de la choroïde, siégeant loin de la macula, n’a aucun retentissement visuel.
Les deux images montrent un fond d’œil traumatique avec rupture de la choroïde. En A, la rétine présente plusieurs hémorragies superficielles irrégulières, surtout en temporal supérieur, associées à un discret œdème maculaire. On distingue une zone linéaire sous-jacente plus claire, évoquant une rupture choroïdienne masquée partiellement par le sang. En B, la lésion apparaît plus nette : une bande blanchâtre arciforme, bien délimitée, traverse le fond rétinien en nasal supérieur, traduisant une cicatrice de rupture choroïdienne ancienne, sans hémorragie associée. Le nerf optique est bien visible, sans signe de décollement rétinien.

A. Aspect du fond d’œil. B. Angiographie.
L’image A montre une rupture choroïdienne traversant le centre de la macula. La bande lésionnelle blanchâtre, orientée verticalement, interrompt l’architecture rétinienne normale et s’accompagne d’hémorragies adjacentes, visibles en inférieur. Le nerf optique est visible, et la fovéa est directement atteinte par la rupture. L’image B, en angiographie à la fluorescéine, confirme cette atteinte : on y observe une hyperfluorescence linéaire intense correspondant à la zone de rupture, entourée de zones hétérogènes de diffusion, traduisant un remaniement cicatriciel. Cette localisation centrale explique une perte visuelle sévère et irréversible.
f Trous maculaires traumatiques
Un traumatisme oculaire violent peut provoquer un mouvement du vitré et une traction maculaire entraînant un trou maculaire. Le traitement est le même que le trou maculaire du sujet âgé : une vitrectomie avec mise de gaz dans la cavité oculaire. Ce type de trou peut se fermer spontanément et ne doit pas être opéré en urgence (fig. 11.14).

A. Aspect du trou maculaire au fond d’œil (flèche). B. OCT montrant le trou maculaire (flèche).
L’image A montre un fond d’œil avec une tache rougeâtre bien centrée sur la macula, entourée de rétine normale. Cette lésion, consécutive à un traumatisme oculaire direct par ballon, est évocatrice d’un trou maculaire post-contusif. Le nerf optique apparaît normal, les vaisseaux rétiniens sont bien visibles, et il n’y a pas de signe d’hémorragie périphérique. L’image B est une coupe OCT horizontale du même œil, montrant une solution de continuité nette des couches rétiniennes internes, formant un trou plein épaisseur avec des berges surélevées. Ce profil typique confirme le diagnostic de trou maculaire traumatique.
II 215216Traumatismes à globe ouvert
Les traumatismes contusifs très violents peuvent provoquer une ou plusieurs ruptures du globe oculaire au niveau des zones de moindre résistance (limbe sclérocornéen ++), révélées par une hypotonie, une hémorragie sous-conjonctivale, une hémorragie intravitréenne.
Le pronostic postopératoire est d’autant plus péjoratif que la plaie sclérale est postérieure (notamment en arrière de l’insertion musculaire) car la plaie touche alors la rétine et se complique d’un décollement de rétine.
B Traumatismes perforants
Les plaies directes du globe oculaire peuvent être observées au cours d’accidents de la voie publique (cause devenue rare avec les pare-brise actuels), d’accidents domestiques, de bricolage ou dans un contexte d’agression, de rixe.
Il s’agit parfois de plaies évidentes, larges, de mauvais pronostic, se compliquant très fréquemment de décollement de rétine ou d’atrophie du globe oculaire (phtyse) avec une cécité complète définitive (fig. 11.15).

A. Aspect préopératoire. Hyphéma et hernie de l’iris associés. B. Aspect postopératoire. La plaie a été suturée; il existe une correctopie séquellaire par perte de substance irienne.
L’image A montre une plaie cornéenne post-traumatique en inférieur, localisée au centre de la cornée claire. La zone atteinte présente une perte de continuité visible, avec un reflet irrégulier et une hyperémie conjonctivale marquée en périphérie. Un repli de l’iris semble faire protrusion vers la plaie, traduisant une possible hernie irienne. L’image B, prise à un autre moment ou sous un autre angle, montre une cicatrice cornéenne blanchâtre, bien centrée, avec une opacification localisée. Le reste de la cornée est resté clair, mais la topographie pupillaire semble légèrement décentrée. Ces images évoquent une plaie pénétrante suturée avec cicatrisation post-opératoire.
Ailleurs, il s’agit de plaies de petite taille (fig. 11.16), de meilleur pronostic :

L’image montre un œil en éclairage focalisé avec une petite plaie localisée à la jonction cornéosclérale, en position temporale. Cette zone, bien visible sous la lumière oblique, présente une perte de transparence linéaire associée à une hypervascularisation locale. Les vaisseaux conjonctivaux afférents sont congestionnés autour de la lésion, sans hémorragie ni protrusion intraoculaire. Le reste de la cornée reste clair, et la chambre antérieure est calme. Cet aspect correspond à une plaie perforante ancienne ou en cours de cicatrisation, souvent post-traumatique, nécessitant une surveillance de l’étanchéité oculaire.
Le risque est de méconnaître la plaie en l’absence d’un examen soigneux, notamment de méconnaître une plaie sclérale masquée par une hémorragie sous-conjonctivale. Le risque est également de méconnaître un CEIO.
Au moindre doute, un scanner du massif facial doit être pratiqué afin de rechercher et de localiser un éventuel CEIO, sa méconnaissance pouvant avoir des conséquences graves (voir ci-dessous).
III 217Corps étrangers
Il faut bien distinguer les corps étrangers superficiels et les corps étrangers intraoculaires (CEIO), de pronostic tout à fait différent (tableau 11.1).
A Signes faisant suspecter un corps étranger oculaire
| Corps étranger superficiel | Corps étranger intraoculaire |
| – Conjonctivite – Kératite superficielle par corps étranger sous-palpébral : toujours penser à retourner la paupière supérieure (++++) – Corps étranger cornéen : directement visible |
– Porte d’entrée : sclérale (hémorragie sous-conjonctivale) ou cornéenne – Trajet visible : cristallinien et/ou irien – Corps étranger visible : iris, cristallin, angle iridocornéen, vitré, rétine (visible en l’absence d’hémorragie intravitréenne) |
A Diagnostic évident
À l’examen : le corps étranger est souvent visible, cornéen superficiel (c’est notamment le cas des « grains de meule », très fréquents; fig. 11.17) ou conjonctival (fig. 11.18).

L’image A montre un corps étranger métallique superficiel implanté dans la cornée, en zone limbique supérieure. Il apparaît brillant, à bords nets, partiellement inclus dans l’épithélium. On note une hyperhémie conjonctivale localisée, sans signe d’infiltration ni d’œdème autour du site d’impact. L’image B montre l’œil sous illumination par transillumination annulaire, mettant en évidence plusieurs fines opacités ponctiformes blanches dans la cornée antérieure, correspondant probablement à des résidus de corps étrangers précédents ou à des traces de kératopathies traumatiques cicatrisées. L’axe visuel reste libre et la chambre antérieure est calme.

L’image montre un œil en vue frontale avec un corps étranger superficiel visible au niveau de la conjonctive bulbaire temporale. L’élément incrusté, de couleur brun foncé, est bien délimité et repose sur la muqueuse, sans signe de pénétration profonde. On observe une légère hyperhémie conjonctivale localisée autour de l’impact, sans infiltration ni sécrétion visible. La cornée, l’iris et la pupille sont intacts, avec une chambre antérieure calme et un reflet pupillaire symétrique. Cet aspect est typique d’un traumatisme conjonctival mineur par particule métallique ou végétale, souvent bénin mais nécessitant un retrait rapide.
Parfois, il est masqué sous la paupière supérieure : toujours penser à retourner la paupière supérieure à la recherche d’un corps étranger sous-palpébral.
Le pronostic est favorable avec un traitement qui associe ablation à l’aide d’une aiguille à corps étranger, traitement cicatrisant et antibiotique local (vidéo 11.2
). Le geste du retournement palpébral est à connaître afin de ne pas méconnaître un corps étranger enclavé sous la paupière (vidéo 11.3
).
2 218Corps étranger intraoculaire
Parfois, le tableau est évocateur :
- • circonstances de survenue :
- • signes cliniques évocateurs :
- – porte d’entrée visible, souvent punctiforme, cornéenne ou sclérale (penser à la rechercher par un examen clinique soigneux devant une hémorragie sous-conjonctivale),
- – trajet de pénétration visible : perforation cristallinienne et/ou irienne (fig. 11.19 et fig. 11.20); il s’agit du signe du balisage,

Fig. 11.19 Trajet de pénétration irien (étoile) et cristallinien (flèche) évocateur d’un corps étranger intraoculaire. L’image montre un œil en éclairage focalisé révélant un double trajet de pénétration compatible avec un corps étranger intraoculaire. Une brèche est visible au niveau de l’iris en temporal inférieur, avec une encoche pigmentée nette, traduisant un point d’entrée. En arrière, une opacification focale du cristallin, arrondie et bien délimitée, évoque le point d’impact secondaire du projectile. La cornée est claire, la chambre antérieure est calme, et la pupille centrée. Ce tableau est très évocateur d’un traumatisme perforant avec persistance possible d’un corps étranger intraoculaire nécessitant une exploration chirurgicale ou un bilan par imagerie.

Fig. 11.20 Corps étranger intraoculaire (CEIO).
A. CEIO cornéen transfixiant avec atteinte irienne (dialyse et correctopie). B. CEIO prérétinien, directement visible à l’examen du fond d’œil.L’image supérieure montre un œil en lumière naturelle avec un aspect post-traumatique marqué : la cornée est claire mais présente un reflet irrégulier, et une structure métallique brillante, enfouie dans l’iris, est visible en bas de la pupille. Ce corps étranger intraoculaire (CEIO) semble stable, sans réaction inflammatoire aiguë. L’image inférieure, issue d’un examen du fond d’œil, révèle un second CEIO localisé en rétine temporale supérieure. La structure réfléchissante est bien nette, enchâssée dans la rétine, entourée de vaisseaux congestifs et d’un halo pigmenté. Ces deux localisations traduisent un traumatisme perforant avec migration intraoculaire du projectile.
- – le corps étranger est parfois directement visible : sur l’iris, dans le cristallin, dans l’angle iridocornéen, dans le vitré ou sur la rétine (voir fig. 11.20).
C Examens complémentaires
Dans tous les cas, à la moindre suspicion de CEIO, un examen tomodensitométrique doit être pratiqué afin de rechercher le corps étranger et, surtout, de le localiser avec précision (fig. 11.21). Il recherche en plus, selon les cas, une fracture de l’orbite, l’intégrité de la paroi oculaire, des structures intraoculaires et orbitaires, ainsi qu’un hématome orbitaire.

L’image A correspond à une coupe axiale d’un scanner orbito-facial mettant en évidence un point hyperdense dans l’orbite droite, en arrière du globe oculaire, correspondant à un corps étranger métallique intraorbitaire. L’image B, en reconstruction sagittale, confirme cette localisation : l’objet métallique apparaît comme un point blanc intense situé en arrière de la sclère, proche de la paroi postérieure de l’orbite. L’os orbitaire reste continu, sans fracture évidente. La présence du corps étranger est nette, sans artefact de diffusion, traduisant une lésion ancienne stabilisée ou bien localisée sans migration secondaire.
220L’échographie B est contre-indiquée en cas de plaie transfixiante du globe oculaire (pas de pression sur le globe).
L’imagerie par résonance magnétique (IRM) est également contre-indiquée en raison du risque de mobilisation d’un corps étranger aimantable durant l’examen.
D Complications des corps étrangers intraoculaires
Les complications peuvent révéler un CEIO méconnu, ou survenir après son traitement correctement conduit. Il s’agit de complications :
- • précoces, avec : l’endophtalmie ou une infection intraoculaire parfois cécitante; le décollement de la rétine rhegmatogène, de pronostic réservé; la cataracte traumatique, de pronostic plus favorable;
- • tardives, comme : l’ophtalmie sympathique ou la diffusion intraoculaire d’un matériau étranger (fig. 11.22), avec ses conséquences rétiniennes et optiques.

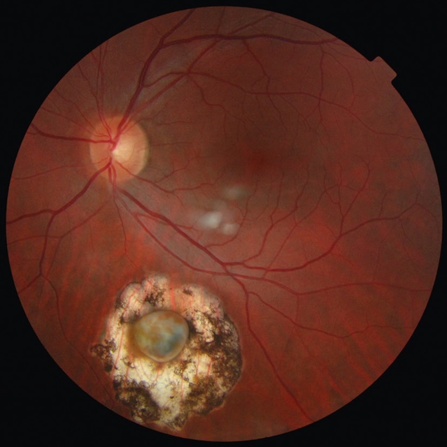
Fig. 11.22 Corps étranger intraoculaire (CEIO) bien toléré pendant 20 ans, qui s’est encapsulé mais se complique d’une sidérose débutante (baisse de vision et de la sensibilité rétinienne).
Une ablation du CEIO doit être réalisée.Ce fond d’œil met en évidence un corps étranger intraoculaire ancien, situé dans la rétine inférieure. L’objet est encapsulé dans une coque pigmentée blanchâtre, bien individualisée, avec des dépôts ferriques en périphérie, traduisant une sidérose progressive. Le centre de la lésion présente un reflet métallique arrondi, confirmant la nature du projectile. En amont, le trajet rétinien montre de fines lésions en chapelet, probablement secondaires à l’impact initial. La vascularisation rétinienne reste globalement conservée, mais une légère atrophie maculaire semble apparaître. Ce tableau est typique d’un CEIO longtemps toléré, mais désormais toxique.
Fig. 11.23 L’image montre un traumatisme sévère de la paupière supérieure avec hématome étendu et plaie ouverte au niveau du bord libre. L’œdème palpébral est important, responsable d’une fermeture complète de la fente palpébrale. La peau péri-orbitaire présente des ecchymoses violacées et un suintement hémorragique diffus. On note également des coulures de sang séché sur la joue et la tempe, témoignant d’un choc récent et probablement violent. Aucune information directe sur l’état du globe oculaire n’est visible, mais ce type de lésion impose une exploration rapide pour écarter toute atteinte orbitaire ou globe perforé.
Remerciements au Dr A. Cattier (Rennes) ayant fourni une partie de l’iconographie.
Compléments en ligne
En cas de traumatisme oculaire :
- A Un décollement de rétine consécutif est possible immédiatement
- B Un décollement de rétine consécutif est possible plusieurs années après le traumatisme
- C Une hémorragie conjonctivale risque de masquer une plaie sclérale
- D Une bonne vision élimine une plaie oculaire
- E Une hypotonie fait évoquer une plaie oculaire
Ce patient est amené par les pompiers alors qu’il vient de recevoir une balle de squash au niveau de l’orbite gauche. Il n’arrive pas à ouvrir sa paupière.
Réponses
Le mécanisme traumatique fait suspecter une rupture oculaire. Vaincre l’œdème palpébral contusif pour évaluer la vision ou examiner l’œil risque d’aggraver la plaie, voire d’éviscérer le contenu du globe oculaire. Avant d’explorer chirurgicalement, il faut évaluer l’état orbitaire, oculaire et la présence d’un corps étranger possible à l’imagerie.
222Compléments en ligne
Des compléments numériques sont associés à ce chapitre. Ils sont indiqués dans le texte par un picto. Pour voir ces compléments, connectez-vous sur http://www.em-consulte.com/e-complements/478662 et suivez les instructions.
Vidéo 11.1. Plaie du globe, signe de Seidel.
Source : Dr B. Valéro, HIA de Toulon.
Vidéo 11.2. Ablation de corps étranger cornéen.
Source : Pr M. Muraine, CHU de Rouen.